S526 - Fratura da extremidade distal do rádio e do cúbito [ulna] - HiDoctor CID-10. PRINCIPAL. CAPÍTULO: Capítulo XIX - Lesões, envenenamento e algumas outras conseqüências de causas externas. GRUPO : S60-S69 - Traumatismos do punho e da mão. CATEGORIA : S52 - Fratura do antebraço.. Pesquise na Classificação Estatística Internacional de Doenças e Problemas Relacionados à Saúde - CID 10: Tipo: Pesquisar por código da doença Pesquisar por nome da doença Pesquisa:

DICAS DE RADIOLOGIA Tudo Sobre Radiologia IMAGENS RADIOLÓGICAS FRATURA ULNA COTOVELO

DICAS DE RADIOLOGIA Tudo Sobre Radiologia IMAGENS RADIOLÓGICAS FRATURA ULNA COTOVELO

Radio e ulna Fisioterapia para todos

Frattura del radioulna

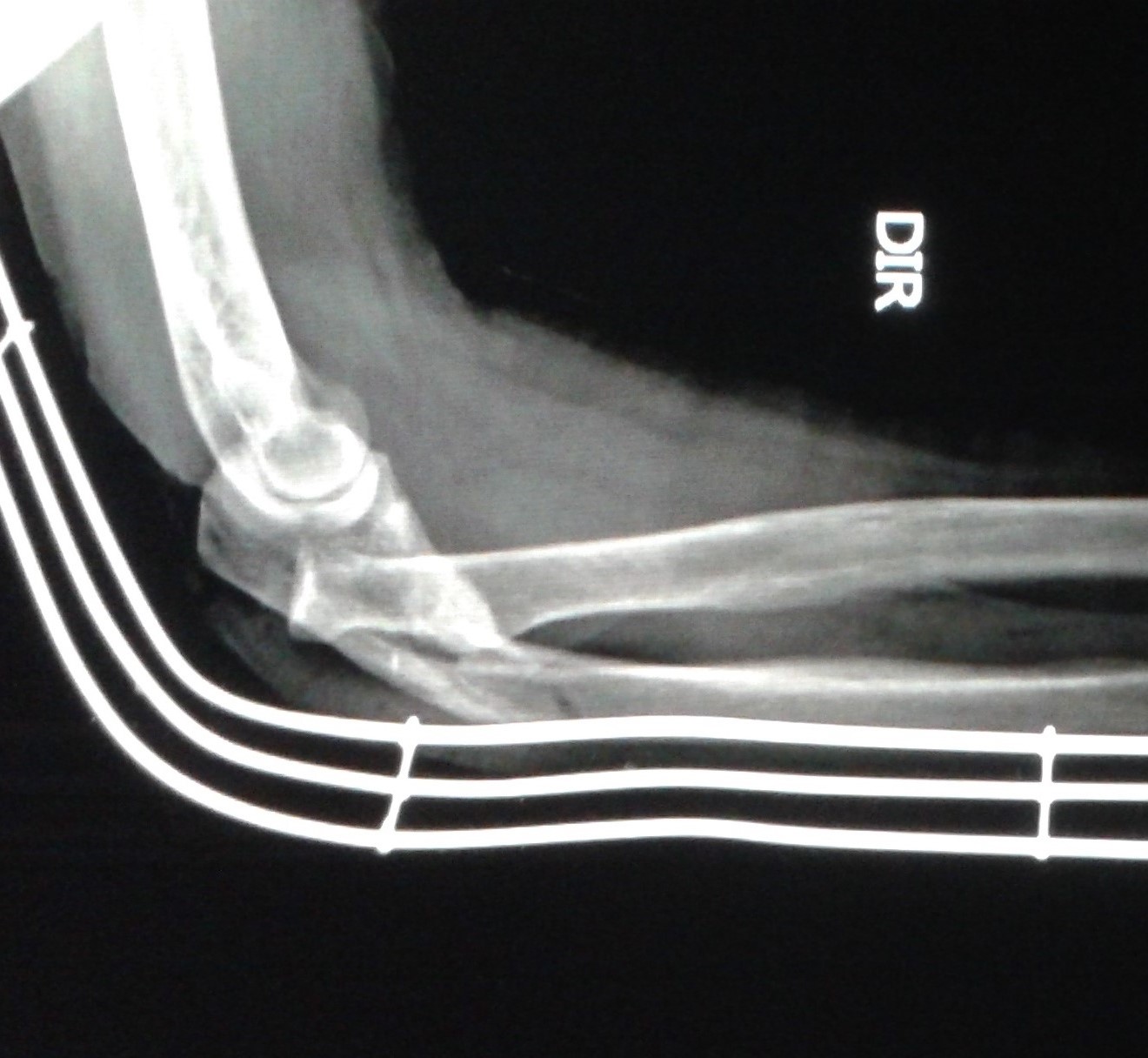
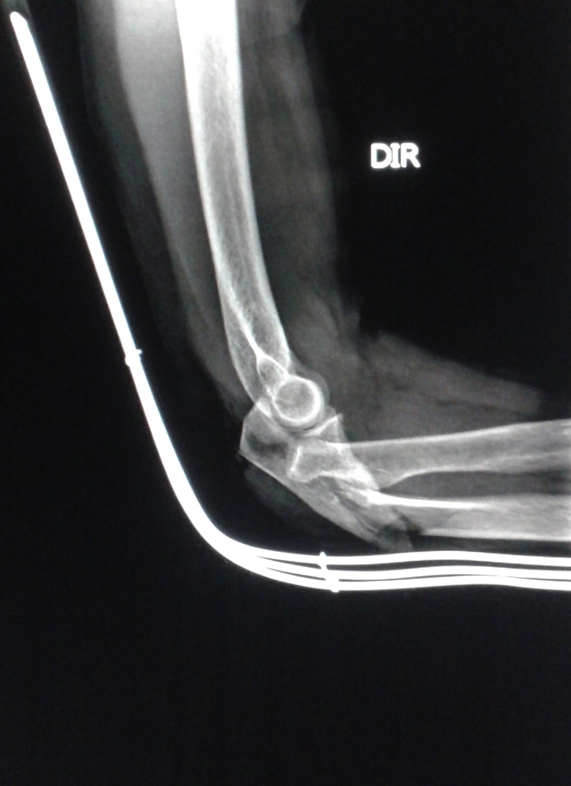
Radiographs show the internal fixation of the proximal ulna fracture... Download Scientific

Fratura da ulna e rádio, sem desvio, reabilitação e tempo de recuperação

Fraturas do Rádio Dra. Renata Paulos

Exercícios para Extensão do Punho Fratura do Rádio Distal Clínica de Fisioterapia Dr. Robson

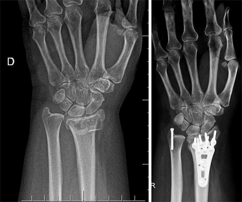
Fraturas de Rádio Distal

Posted in Saúde , Tecnologia by Ricardo Kaempf

Distal Ulna Fractures Journal of Hand Surgery

Fraturas do antebraço Dr. Wilson Lino Jr.

Dr. Thiago Albeny Ortopedia e traumatologia especializada em mãos

Como ocorre a fratura de rádio distal?

Fraturas do Rádio Distal Concise Medical Knowledge

Fratura do Punho (região distal do rádio) Dr. Diego Falcochio

4 Formas de Classificar uma Fratura do Rádio Distal

Distale di radio e ulna frattura con spostamento Foto stock Alamy

Image Fratura distal do rádio em galho verde Manuais MSD edição para profissionais

Distal ulna hook plate Ulna fracture, Orthopedics, Fracture
Epidemiology. Radius and ulnar shaft fractures are common fracture patterns and can be a result of either direct or indirect trauma. They are also known as " both bone forearm fractures " 1,2,4. These fractures have a bimodal age distribution and typically occur in young males aged between 10-20 years or females over the age of 60 years.. All the football fixtures, latest results & live scores for all leagues and competitions on BBC Sport, including the Premier League, Championship, Scottish Premiership & more.